近期連續遇到好幾個病人對我講:“醫生,我當時受了傷,見到有血從傷口流出,我就放心好多了!”我不解地問病人何以有這樣的想法?病人回答:“因為我及身邊的人都覺得,只要血流出身體外,就代表不會內出血,是好事!”然而,在外科醫生的角度看,事情並非如此簡單。以下就從醫學解剖的角度去解釋這個問題。

肢體外傷只須簡單止血
當身體受到撞擊或者切割損傷時,皮下組織內血管有可能出現破裂而流血,結果分為以下四種類型:
1)當皮膚有破口時,則血液會外流;
2)當外傷只是局部組織挫傷、皮膚完整無破口時,我們則不能看到有流血的情況,卻有可能看到皮下瘀血、形成包塊;
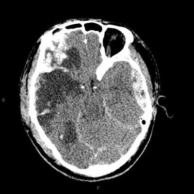
3)當外來暴力或者利器導致身體局部外傷,局部無看到皮膚破潰傷口;但身體深層次組織接受暴力打擊時受到損傷,內臟器官可能出現破裂出血的情況。由於體表皮膚完整或臟器部位較深,故出血只會在腹腔、胸腔或顱骨腔內,而外表不能察覺。這種情況,就是上述患者認為血流出來是好事的依據吧;
4)當身體受到當外來暴力或者利器損傷時,內臟器官受損嚴重,同時體表亦有貫通的傷口,這時候內臟出血亦有機會從貫通傷口流出,我們可以觀察到血液外流情況。這種情形並非輕微損傷,亦並非是好事,同樣是大問題。
所以,我們不能簡單地認為,受傷時,只要見到流血就代表受傷輕微、是好事。
|
手腕血管損傷需要急診 |
頭部CT圖,顯示顱內出血,但外表無流血。 |
當不幸遭遇外傷時,我們可以遵從以下自我檢查及自救的步驟:
1)當鈍性損傷發生在肢體時,我們需要檢查肢體有無外傷傷口、能否活動、有無麻痺感覺、有無形狀改變甚至畸形情況。有流血時,需要使用乾淨的物品壓迫止血;如果無法自行止血,則需要求診。如果有不能活動、麻痺感覺、肢體畸形,則須求救並立即就診。
2)當鈍性損傷發生在頭部、頸部、胸、腹部等軀幹部位時,需要高度重視,因為這些部位深,在損傷時,由體表很難發現具體症狀。因此建議立即就診,並由專業的醫護人員進行詳細體格檢查,甚至進行一些必要的影像學檢查。
3)當利器切割傷發生在肢體時,我們需要觀察傷口大小、深度、流血情況、肢體能否活動及是否有麻木感。銳器的切割傷傷口一般比較深,流血較多,大部分情況需要縫合止血處理。當肢體受傷後肢體不能活動或者麻木時,往往提示存在神經或者韌帶損傷,均需要急診,由專科醫生評估後處理。
4)當利器損傷發生在軀幹時,屬於高危情況,則要高度重視。因為利器可以通過體表直接進入顱腔、頸部、胸腔及腹腔,從而損傷腦組織、頸部大血管、肺、心臟;腹腔內的肝、膽、脾、胰腺、腸,腎臟,輸尿管膀胱、女性子宮等等。無論任何一樣器官,都可能致命,故在這種情況下,則需要立即求救並就診。
來源︰澳門日報 鄉志雄 腦外科

